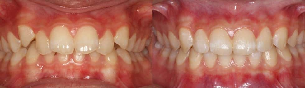
診療項目 隱適美 / 矯正 隱適美 矯正專科 隱適美 何謂隱形矯正? 透過可拆卸式透明的牙套矯正移動牙齒,除了降低過程的不適感,也降低不易清潔導致的蛀牙發生率。美觀:療程期間 一樣自信的微笑舒適:降低矯正的疼痛不適感便利:拆卸方便、清潔容易,飲食不受限 什麼樣的病人適合做? 清潔不確實 美觀需求高 耐痛度低 隱適美優點 近乎隱形難察覺,輕薄透明的設計,在日常生活中對談微笑依然很自在。 聚餐、出席正式場合,方便自行拆下,配戴自由度高。 逐步改善牙齒排列,不用承受過度移動牙齒的力量;無金屬鋼線,不磨損舌頭與口腔黏膜。 牙齒清潔時可自行拆下,正常刷牙和使用牙線,不用擔心提高蛀牙或牙周病風險。 精密電腦程式模擬,切確掌握矯正時間,並能遇見矯正後成果。 長期在外地也能完成療程:隱適美可一次提供3~4副牙套,只要依照時間配戴,2~3個月回診,一樣能達到矯正效果。 牙齒為什麼需要矯正 牙齒的整齊與否,不僅影響美觀,更可能會影響到健康。咬合不正可能加深清潔不確實而導致牙周病;又或是造成牙齒與下顎承受異常壓力,使牙齒提前耗損。咬合不正,最常見的包括:齒列擁擠、牙縫問題、深咬、開咬、錯咬、切端咬合、暴牙等情況。建議先諮詢專科醫師,以提供最合適的診療安排。 隱形矯正 療程規劃 資料收集 牙套裝載 追蹤調整 案例分享 張阿姨∣All-on-4 全口植牙案例曾醫師理解張阿姨害怕看牙及怕痛的問題,療程中全程使用舒眠植牙麻醉,大大減緩張阿姨對看牙的焦慮及不適,手術結果也相當的成功!details張阿姨∣All-on-4 全口植牙案例曾醫師理解張阿姨害怕看牙及怕痛的問題,療程中全程使用舒眠植牙麻醉,大大減緩張阿姨對看牙的焦慮及不適,手術結果也相當的成功!details張阿姨∣All-on-4 全口植牙案例曾醫師理解張阿姨害怕看牙及怕痛的問題,療程中全程使用舒眠植牙麻醉,大大減緩張阿姨對看牙的焦慮及不適,手術結果也相當的成功!details 矯正專科 何謂齒顎矯正治療? 齒顎矯正治療一般俗稱為「牙齒矯正」、「牙齒整形」、「齒列矯正」。 臨床上,齒顎矯正專科醫師會利用矯正裝置(活動式或固定式),將牙齒或齒列的異常咬合,改善至最適當的狀況。 經由齒顎矯正治療,齒列不整的病人可獲得口腔健康、功能與美觀上的改善。 什麼樣的病人適合做? 咬合不正、齒列擁擠 齒間縫隙、暴牙、戽斗、深咬、開咬 把您口腔的困擾,交給由專業醫療團隊解決。 Contact Us 姓 名 電 話 諮詢療程 * 微創植牙 舒眠治療 / 植牙專科 全瓷冠美學 / 假牙專科 BPS活動假牙 All-on-4 單顎重建 全口重建 / 植牙專科 隱適美 / 矯正專科 顯微根管治療 微創牙周病治療 其他 預約諮詢(更多資訊,歡迎填表索取) 諮詢療程 您是否有指定醫師?(實際將依您需求及醫師檔期安排) * 主治醫師-曾梓豪 主治醫師-鄭智元 主治醫師-劉晁銘 主治醫師-許湘敏 主治醫師-許志領 主治醫師-羅蕙廷 主治醫師-吳弘一 主治醫師-謝祿庸 主治醫師-謝覲宇 根管醫師-林楷荔 矯正醫師-謝其曄 不須指定醫師 您方便聯繫的時間? * 下午 13:30-17:00 晚上 17:00-21:00 All day 全天皆可 需求事項 CAPTCHA 立即預約